Gerais

Prefeitura alerta sobre maus-tratos após quati ser baleado com chumbinho em bosque de Marília; veja punições previstas em lei



Prefeitura denuncia maus-tratos e ataques a tiros contra quatis em bosque de Marília
A Prefeitura de Marília (SP) emitiu um alerta sobre maus-tratos contra animais silvestres após um quati ser resgatado ferido por tiros de chumbinho no Bosque Municipal Rangel Pietraroia.
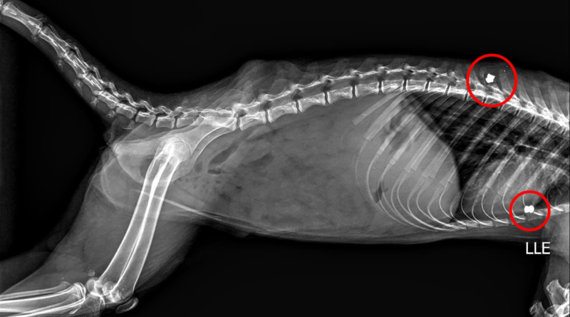
O animal foi socorrido em 15 de abril pela Secretaria do Meio Ambiente e segue em atendimento veterinário especializado. Segundo a prefeitura, um raio-X mostrou dois chumbinhos alojados no corpo do quati.
📲 Participe do canal do g1 Bauru e Marília no WhatsApp
Raio-X de quati baleado com chumbinho e resgatado em bosque de Marília
Prefeitura Municipal de Marília/Reprodução
Após o caso, o município reforçou orientações sobre o convívio com a fauna silvestre e alertou que alimentar os animais do bosque é proibido.
Em entrevista à TV TEM, a médica veterinária Melissa Campitelli explicou que os quatis não vivem no bosque, mas usam a área como rota de passagem e buscam alimento em seu habitat natural, nos vales dos Itambés.
“Animais de vida livre, que são os animais silvestres da nossa fauna, nunca devem ser alimentados. Temos muitas espécies aqui, quatis, cutias e cachorros-do-mato, que são mais visualizados à noite, além das aves. Eles devem buscar o próprio alimento, adequado para cada espécie, dentro da natureza e de seu habitat. Ao alimentá-los, as pessoas oferecem comida que nem sempre é a adequada.” explica.
Segundo a veterinária, tanto maus-tratos quanto a alimentação irregular dos animais podem se enquadrar em legislações ambientais, com punições que podem incluir multa e prisão.
“Tanto quem alimenta quanto quem maltrata pode incorrer em duas legislações: a lei de crimes ambientais, por se tratar de um animal silvestre, ou na lei de maus-tratos, quando há a comprovação. As punições podem variar de multa até prisão” completa a veterinária.
Presença de Quatis é frequente no Bosque Municipal de Marília (SP)
TV TEM/Reprodução
Pela Lei de Crimes Ambientais (Lei nº 9.605/98), a pena para maus-tratos contra animais é de detenção de três meses a um ano e multa, podendo haver agravantes conforme o caso.
Quando o crime é cometido contra cães e gatos, a pena é mais severa: reclusão de dois a cinco anos, multa e proibição da guarda. No caso de animais silvestres, a conduta também pode ser enquadrada em crimes contra a fauna.
Em nota, a prefeitura de Marília afirmou que não há superpopulação de quatis no bosque e que a impressão de infestação ocorre pelo deslocamento frequente dos animais em áreas visíveis ao público.
“Existe uma sensação de grande quantidade, mas, proporcionalmente à área do bosque, não se trata de infestação. O que ocorre é um intenso deslocamento desses animais ao longo do dia, inclusive atravessando vias com alto fluxo de veículos, o que aumenta a visibilidade” diz na nota Rodrigo Más, secretário adjunto do Meio Ambiente e Serviços Públicos da cidade.
Quatis no Bosque Municipal de Marilia (SP)
TV TEM/Reprodução
Initial plugin text
Veja mais notícias da região no g1 Bauru e Marília
VÍDEOS: assista às reportagens da região
Sob a licença da Creative Commons (CC) Feed